Về HÀN TRÁM RĂNG tại Bani
Trong trường hợp muốn phục hình nhanh tình trạng răng mẻ, vỡ, răng thưa, gãy… thì hàn trám răng sẽ là sự lựa chọn tối ưu. Cùng Nha Bani tìm hiểu về phương pháp này nhé!

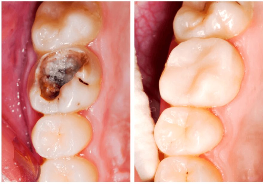
Hàn trám răng là kỹ thuật mà bác sĩ sẽ sử dụng vật liệu trám bít để khôi phục lại hình dáng và chức năng của răng. Phương pháp này được sử dụng phổ biến trong nha khoa bởi mang lại ý nghĩa cả về thẩm mỹ lẫn điều trị và phòng ngừa bệnh lý răng miệng.
Kỹ thuật này thường được chỉ định và mang lại hiệu quả cao trong các trường hợp răng có khuyết điểm.

Hàn trám răng có nhiều phương pháp trám khác nhau để giúp phục hình hiệu quả cho răng đó là trám trực tiếp và trám răng gián tiếp Inlay/Onlay. Tùy vào tình trạng răng và mục đích hàn trám mà bác sĩ sẽ tư vấn cho bạn phương pháp, chất liệu hiệu quả và phù hợp nhất.
+ Hàn trám răng điều trị: giúp phục hồi và điều trị trong trường hợp răng bị sâu, chấn thương gây mẻ, vỡ, răng bị mòn men…
+ Hàn trám răng phòng ngừa: sử dụng vật liệu trám mỏng phủ lên răng để phòng tránh các bệnh lý răng miệng hoặc tác hại từ axit, thực phẩm…
+ Hàn trám răng thẩm mỹ: sử dụng khi muốn che đi một số khuyết điểm, chỉnh hình và giúp răng đều đẹp hơn.
+ Vật liệu hàn trám Amalgam: Amalgam là chất liệu hàn trám truyền thống (hỗn hợp gồm bạc, thiếc, kẽm, đồng và thủy ngân), thường có màu bạc. Chất liệu này khá bền chắc nhưng thẩm mỹ không cao nên thường sử dụng khi hàn trám các răng bên trong, phổ biến nhất là răng hàm.
+ Trám răng với kim loại quý: Chất liệu kim loại thông thường là: vàng, bạc, đồng. Về độ bền chắc thì kim loại quý cứng hơn cả amalgam nên đảm bảo ăn nhai tốt. Chất liệu này cũng thường được sử dụng trong hàn trám các răng ăn nhai.
+ Vật liệu trám răng Composite: Composite là vật liệu hàn trám được đánh giá cao về màu sắc và có độ khít sát cao với răng, và đang được sử dụng nhiều và phổ biến nhất. Chất liệu này thường được sử dụng hàn trám cho những chiếc răng yêu cầu cao về thẩm mỹ.
+ Sử dụng vật liệu sứ Inlay/Onlay: Là một kỹ thuật phổ biến hiện nay có màu sắc gần giống răng tự nhiên, phù hợp với những trường hợp răng bị sứt mẻ lớn. Phương pháp này sử dụng công nghệ CAD/CAM chế tác theo tình trạng răng nên bám dính tốt, độ bền cao.
Hàm trám răng có đau không sẽ tùy thuộc vào tình trạng răng của khách hàng. Trường hợp răng thưa, hở hoặc sứt mẻ nhỏ thì bác sĩ chỉ thực hiện làm sạch vùng răng cần điều trị rồi đắp vật liệu trám lên là kết thúc. Thời gian thực hiện rất nhanh chóng và hoàn toàn không đau.
Trong trường hợp răng sâu nặng, mẻ lớn ảnh hưởng đến tủy thì bác sĩ sẽ tiến hành điều trị tủy trước rồi mới thực hiện hàn trám. Khi điều trị tủy, khách hàng sẽ có cảm giác hơi ê buốt. Tuy nhiên, trước đó bác sĩ đã tiêm thuốc tê nên cảm giác đau sẽ không quá khó chịu.
Ngoài ra, trên thực tế, trám răng có đau hay không còn tùy thuộc vào tay nghề của bác sĩ và công nghệ điều trị tại nha khoa. Vì vậy, bạn cần lựa chọn nha khoa uy tín, quy tụ đội ngũ bác sĩ chuyên môn và đầu tư máy móc hiện đại để thực hiện.
Khách hàng sẽ được kiểm tra cụ thể, xác định khuyết điểm răng đang gặp phải và mức độ cụ thể, từ đó cho tư vấn phù hợp nhất. Bạn cũng sẽ được giải đáp về phương pháp hàn trám răng, các thắc mắc có liên quan để yên tâm khi lựa chọn dịch vụ. Đồng thời đưa ra bảng giá trám răng Nha Khoa BANI công khai.
Vệ sinh răng miệng là bước bắt buộc khi muốn hàn trám răng hiệu quả cao. Các bác sĩ sẽ tiến hành súc miệng và vệ sinh sạch sẽ răng cũng như khoang miệng cho bạn. Nếu bị sâu răng hay bệnh lý nha chu, bác sĩ cũng có biện pháp xử lý trước khi chính thức thực hiện, tránh tình trạng nhiễm trùng hay lây lan bệnh lý răng miệng.
Bác sĩ sẽ làm sạch vị trí hàn trám và xử lý bề mặt răng bằng dung dịch làm tăng độ bám dính giữa răng với vật liệu trám. Sau đó, sẽ thực hiện trám và sử dụng đèn chiếu để hoàn tất.
Hoàn tất quá trình, khách hàng sẽ được bác sĩ dặn dò chu đáo về cách chăm sóc, vệ sinh răng miệng cũng chế độ ăn uống để duy trì kết quả lâu dài nhất.
Kỹ thuật này không quá phức tạp, tuy nhiên, nếu không thực hiện đúng, vẫn có thể gặp tình trạng bong tróc, đau nhức, thẩm mỹ không cao… Nha Khoa BANI là địa chỉ nha khoa uy tín đã mang đến nụ cười rạng rỡ cho hàng trăm ngàn khách hàng.
Lựa chọn hàn trám răng với công nghệ mới tại Nha Khoa BANI, bạn có thể yên tâm về kết quả nhận được. Nếu còn bất cứ băn khoăn nào, tốt nhất là bạn nên dành thời gian đến tư vấn và trải nghiệm trực tiếp chất lượng dịch vụ tại đây nhé!
| STT | Tên dịch vụ | Đơn vị tính | Giá tiền |
|---|---|---|---|
| 1 | Lấy cao răng độ I | 02 hàm | 200.000₫ |
| 2 | Lấy cao răng độ II | 02 hàm | 300.000₫ |
| 3 | Lấy cao răng độ III | 02 hàm | 500.000₫ |
| 4 | Hàn trám bít lỗ răng sâu nhỏ, răng sữa | Răng | 200.000₫ |
| 5 | Hàn trám mặt nhai trong, ngoài | Răng | 300.000₫ |
| 6 | Hàn thẩm mỹ khe thưa, lỗ rãnh lớn | Răng | 1.000.000₫ |
© Bản quyền thuộc về Công ty TNHH BANI DENTAL GROUP